

HOME > 山中歯科ブログ ≫ 親知らず ≫ (歯科治療例)親しらずの抜歯
大泉学園 北口徒歩3分の歯医者 山中歯科の山中大輔です。
先日,お子さんの親知らずの抜歯について紹介しましたが(詳しくは→コチラ),今回は最近問い合わせの多い「大人の親知らずの抜歯(下顎)」について紹介します。
歯科医院に「下の奥歯が腫れて痛む」「咬むと下の奥歯の歯ぐきが痛い」といった症状をもった患者さんが来院することは少なくありません。その場合「下の親知らず(8番目の歯)」に原因があることがあります。
痛みの原因として,
・萌出してくる時に周囲の組織を押して痛む場合
・また萌出し終わった後に親知らずの周りに細菌が入り込み,炎症を起こしてしまっている場合などがあります。
手前の歯が虫歯になっていなければ、対症療法によって痛みが引いてくることは多いのですが,忘れたころにまた痛くなることがあります。また,放置しておいた場合手前の歯の深いところに虫歯ができてしまい(歯ブラシはまったく届かないので),手前の歯の治療が困難になるケースもめずらしくありません。
そのような場合には抜歯をすることをお勧めしますが,抜歯をする際に注意しなければいけない事がいくつかあります。
通常のパノラマレントゲン(お口全体のレントゲン)を見たときに,親知らずの先と下顎管(顎の中を伝っている比較的大きな神経管)が重なっていると,抜歯時に神経を傷つけてしまうことがあります。また親知らずが周囲の骨と癒着(くっついてしまう)している場合には抜歯自体が困難になることもあります。
そのため,パノラマレントゲン上で「はっきり見えないからもう少し詳しい情報が欲しい」と思った場合には「CT撮影」が有効になります。
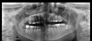
下のパノラマレントゲンは,親知らずが横になった状態で埋まっている(下顎水平埋伏智歯)状態でした。
さらに,親知らずの根の先と下顎管が近接しているため,CT撮影を必要とするケースでした。
赤い丸が親知らずで,黄色い線が下顎管になります。
CT画像で,親知らずと下顎管の間に一層骨が介在していたのが確認できたため,抜歯を行うことが出来ました。
下のケースでは,親知らずが周囲の組織を圧迫して痛みが生じていました。
親知らずが縦に埋まっており,かつ根の先が下顎管に近接しているケースです。やはりCT撮影をする必要がありました。
CTで見ると,親知らずと下顎管が接していることがわかります。
このようなケースでは,抜歯の衝撃で下顎管が圧迫され,内部を走行している神経を損傷すると,知覚鈍麻が生じる可能性があります。
損傷の具合にもよりますが,数ヶ月から数年,知覚の鈍麻が続く事もあります。
患者さんには,そのような合併症の可能性を説明したうえで,抜歯を行いました。(心配な方には,大学病院等の口腔外科を紹介することもありますが,病院で抜歯をしても合併症のリスクが無くなるわけではありません。)
術後に,もう一度パノラマレントゲン撮影を行い,確実に抜歯できているかを確認します。(埋伏抜歯の場合,歯をいくつにも分割していくので,稀に根の先が残ってしまう事もあります。)
幸い,術後の異常はありませんでしたが,手術時間は1時間~1時間半かけて慎重に行ったので,患者さんも口を開けているのが辛かったと思います。またこのような下顎の埋伏抜歯は,術後数日間は必ず腫れると考えていますので,抜歯後の2日間は安静にする必要があります。
次のケースは,まだ比較的若い(20歳)患者さんでしたが,「親知らずが生えてきて手前の歯が押されて痛い」ということで来院されました。
やはり,親知らずと下顎管が近接しているケースです。このような場合には,安全のためにもCT撮影をお願いしています。
親知らずの根の先が,下顎管に接しているのがわかります。
根の先が分かれており,無理に全部抜こうとすると神経を損傷する恐れがあったので,細かく分割し,慎重に最後に残った根の先を取り出しました。
抜歯を行った後の確認用レントゲンで,きちんと抜歯できているのがわかります。(左右の抜歯は別々の日程で行います)
このケースも幸い,知覚鈍麻などの合併症はなく済みました。
下のケースは非常に稀な状態の埋伏智歯(親知らず)でした。
水平に埋伏している親知らずが少し生えてきており,かつその部分から虫歯になってしまっています。
初診の患者さん(50代)は痛みを伴って来院されましたが,虫歯の痛みなのか,親知らずの周囲の痛みなのかははっきりしません。
しかし,親知らずの真下には下顎管が水平に接しており,親知らず自体も骨と癒着しているようにも見えました。
CTで確認すると,親知らずの側面がほとんど下顎管に接しています。
また虫歯もかなり深い部分にまで進んでいるのがわかりました。
このような場合,抜歯をするには知覚鈍麻のリスクが大きすぎますし,かといって深くに埋伏しているため,虫歯の治療もできません。
患者さんとよく話し合った結果,「抜歯を試みるが,困難な場合は埋伏歯の半分を残す(コロネクトミー変法)」を選択しました。
実際,抜歯は困難な状態にあり,歯の上部を削った後,歯肉を完全に閉鎖するようにして,部分的に歯を残しました。
下のレントゲンは術後3ヶ月のものですが,現在は術後約1年経過し,異常は生じていません。
歯の欠損した部位(右に映っている1本は動揺が強く抜歯になりましたが)には,部分入れ歯を装着していますが,歯肉に痛みもなく過ごされています。
しかし,この術式は,残っている歯が感染源になる可能性も否定できないため,最後の手段となります。
私自身は,口腔外科の専門医ではないため,非常に困難なケースは大学病院等に紹介する場合もありますが,ある程度の埋伏抜歯であれば,当院でも抜歯を行っております。
症状が強く出る前に抜歯をしたほうが良いケースも多くありますので,気になる方は一度レントゲンやCTを撮影してみたほうが良いと思います。
山中歯科 山中大輔