

HOME > 山中歯科ブログ ≫ インプラント治療 ≫ (治療例)噛み合わせを整えた欠損補綴治療
練馬区大泉学園 北口徒歩3分 山中歯科の山中大輔です。
山中歯科では、精密な欠損補綴(歯を失った部分を補う)治療によって、患者さんの咀嚼機能を改善し、生涯美味しく食事が摂れるようにしたいと考えております。
欠損補綴治療には、ブリッジ、入れ歯(義歯)、インプラント、と大きく分けて3つの方法があります(詳細はコチラ)が、今回ご紹介するのは「インプラント」のケースです。また、インプラント治療と歯列矯正治療を併用したケースでもあります。
右上の歯(向かって左)の異常を訴えて来院された患者さん。
ブリッジを支えている歯が折れてしまっていました。残念ながらこの歯は保存不可能となります。
抜歯をした場合、奥の歯がすでに2本欠損しているため、「ブリッジ」は適用できません。
そうすると、残された欠損補綴の治療方法は「入れ歯」か「インプラント」になります。患者さんとよく話し合った結果、今回はインプラントによる欠損補綴治療を行う事にしました。
また同時に、「上の前歯の歯列不正を治療したい」という事もあり、「インプラントを併用した歯列矯正治療」を行うことにしました。
まず、破折した歯の抜歯を行う前に、奥の部分にインプラントを埋入し、仮の歯を入れておきます。インプラントを支えにすることで歯列矯正の期間短縮が可能になり、確実な矯正治療を行う事ができます。(矯正治療はパートナーのよしかわ矯正歯科で行いました。)
インプラントの固定期間を待ち、破折した歯を抜歯し、矯正治療を進めていきます。
前歯の矯正治療が終了した段階で、折れた歯の部分に、もう一つインプラントを埋入しました。
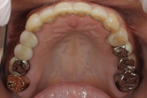
その後、インプラントの固定期間(約3か月)を待ち、上部構造物(歯の頭の部分)を製作して治療は完了となります。
インプラントによる欠損補綴と矯正治療を併用したため、治療期間は長くなってしまいましたが、噛み合わせを整えることで、今後はしっかりとした食事が摂取できるようになると考えております。
このような治療は、患者さんの協力が無ければ成立しません。
今回のケースの患者さんは、毎日のブラッシングをきちんとされており、診療の予約時間にも必ず15分前には来院される方でした。
長期間に及ぶ治療も、患者さんの治療に対する姿勢(モチベーション)が高ければ、スムーズに進行していきます。
また、術後のケアもしやすく、長期に渡って安定した口腔内環境を維持できるようになると考えています。
本当にお疲れ様でした!
今後も、責任を持ってメインテナンスを継続していきたいと思います!
山中歯科 山中大輔