

HOME > 山中歯科ブログ ≫ 口腔外科 ≫ (歯科治療例)歯の再植について
練馬区大泉学園駅北口徒歩3分の歯医者 山中歯科の山中大輔です。
本日は「歯の再植」について治療例とともに紹介します。
以前、外傷で歯が脱落した患者さんの「歯の再植」について説明したことがありました(詳しくはコチラ)。
その患者さんも、その後の経過は良好。やはり自分の歯(歯の周りの歯根膜という組織)の機能はすごいと感じます。
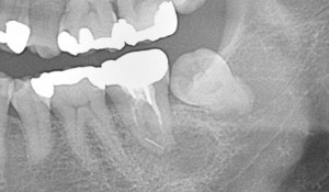
下の写真の患者さんは、長い間痛みが取れず、親知らずが原因という診断を受け、消毒を繰り返していたということでした。
左下奥歯のレントゲン写真
レントゲンを見ると、確かに親知らずがあり、周囲に炎症が生じてもおかしくはない状況。
しかし、患者さんの症状は、「消毒を繰り返しても鈍い痛みが断続的にある」ということでしたので、親知らずの急性炎症だけが原因とは考えづらく、一つ前の歯が原因である可能性を説明しました。
上記レントゲンにも、親知らずの一つ前の歯に病巣が確認できます。
赤い部分で囲った場所の骨が溶けてなくなっており、青い線の部分には、治療に使用するファイルが破折して残っています(破折ファイルについて詳しくはコチラ)。
かなり大きな病巣なので、もっと強い痛みが生じるはずでしたが、その歯を叩いても、硬いものを噛んでも痛みはないとの事。ただし、ふとした時に鈍痛が続くという症状でした。
いろいろな可能性がありましたが、CT撮影の所見から診断すると、やはりこの歯が原因であることが濃厚。
歯の内部を洗浄するには、歯の内部に残っている破折ファイルを除去し、可能な限り歯の内部を消毒していく必要があります。しかし、破折ファイルの残存している場所や病巣の大きさから、通常の治療では困難であると考えたため、「歯の意図的再植」を提案しました。
歯の意図的再植とは、一度歯を抜去し、骨内部の感染場所を徹底的に掻爬・洗浄し、抜去した歯の内部も洗浄・封鎖を行い、抜去した場所に戻す、という治療法です。
ただし、歯が破折していたり、抜歯する際に歯が折れてしまえば、そのまま抜歯することになります。
通常の治療を行いながら、症状が変化しないこと、破折ファイルは除去しづらい場所にあること、などを確認し、メリット・デメリットに同意をしてもらったうえで、「意図的再植」を行うことにしました。
上の写真は抜去した歯の感染部分、および破折ファイルを除去し、歯の内部を特殊なセメントで封鎖している時のものです。
また、レントゲンで確認できた病巣はかなり大きく、骨が溶けた内部にはおから状の膿も大量に存在していました。
数年以上の時間と共に進行した状態だと考えられます。
歯に破折は確認されませんでしたので、抜去した場所に戻し固定をしました。
現在、1か月以上が経過し、痛みはなくなったとのことです。
今後は補綴治療を行う予定であり、その後も経過観察が必要ですが、意図的再植は成功したと考えます。
治りづらい痛みの場合は、通常のレントゲン撮影、CT撮影などを行い、様々な可能性を考えて治療法を決定していく必要があります。
また、その結果抜歯に至ることもありますが、当院では、まずは、歯の保存治療を優先して治療計画を立てていきます。
山中歯科 山中大輔